VOU ALÉM DO SEU SORRISO

Minha missão é proporcionar uma qualidade de vida melhor aos meus pacientes


Estou comprometida em ir além de uma renovação do sorriso. Quero proporcionar mais qualidade de vida aos meus pacientes ao devolver autoestima, autoconfiança e autorrealização.

Estou atenta às individualidades de cada paciente, planejando e executando tratamentos altamente personalizados.


Conheça a Dra. Fernanda

"Acredito que a Prótese Dentária é a especialidade mais importante da Odontologia. Permite restaurar a saúde bucal e a estética de forma completa e integrada. Combinando meus conhecimentos e habilidades, busco proporcionar sorrisos saudáveis e confiantes em cada tratamento.

Estou comprometida em oferecer cuidados personalizados e resultados de alta qualidade. Estou aqui para ajudá-lo a alcançar o sorriso dos seus sonhos, de forma natural e duradoura."

Tratamentos

exterior-design

Estética Dental

Clareamento Dental;

Lentes de Contato;

Prótese sobre Protocolo;

Facetas em Cerâmica e em Resina Composta.

interior-design

Próteses Sobre Implantes

Implantes dentários para casos simples e complexos;

Carga imediata;

Coroas sobre implantes.

planning

Preenchimento Labial


Correção de assimetrias do sorriso;

Projeção e volume dos lábios;

Hidratação.


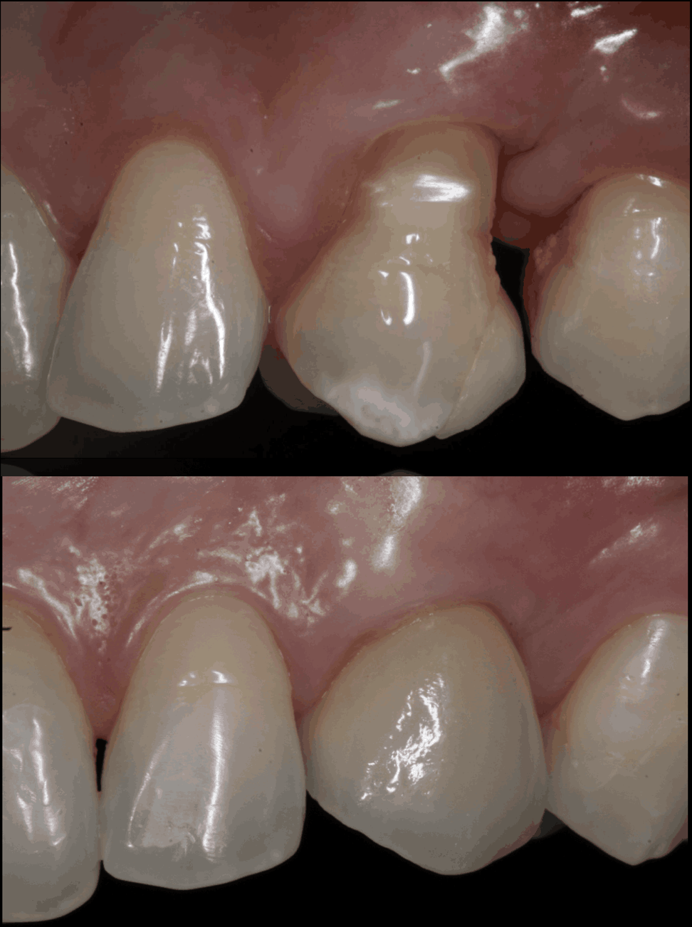
Reabilitação Oral

Restauração de toda a anatomia dental, de maneira que a mastigação, o sorriso e o desenho das arcadas dentárias estejam em plena harmonia com as demais estruturas faciais.

Prevenção

Visitas ao dentista não devem ser agendadas apenas quando aparece um problema. Se você tem um sorriso bonito e saudável, mantê-lo assim é o principal objetivo da prevenção.



História reais.

Um sorriso pode mudar a vida das pessoas. E mudar para muito melhor!









SORRISOS DE ALEGRIA

Sensação de dever cumprido!


Sinta-se em um ambiente harmônico e acolhedor

Pensando em cada detalhe para te receber, a nossa clínica é um lugar aconchegante, seguro e acolhedor, onde buscamos entregar o melhor para os nossos pacientes queridos.

E quando dizemos ”nossa clínica”, isso inclui você também, pois aqui é o lugar de realização dos pacientes, onde você pode contar com os nossos profissionais para oferecer uma experiência transformadora em sua vida.

LOCALIZAÇÃO

Rua Alves de Brito- 141- sala 503- Centro- Florianóplis/SC

Agendamento

Agende sua consulta agora mesmo! Entre em contato pelo Telefone / WhatsApp: