Curso Intensivo de Placas Oclusais – Analógico e Digital
Aprenda na prática, em um grupo exclusivo, a confeccionar e ajustar Placas Oclusais do início à entrega ao paciente.
Vagas limitadas!
Dois dias intensos que vão mudar a sua prática e rotina clínica diária
Teoria aplicada com enfoque clínico
Hands-on com pacientes reais
Fluxo analógico e digital
Prática em pacientes e supervisão próxima
Aprenda a confeccionar placas oclusais do ZERO ao ajuste final

Fundamentos da oclusão e da DTM
Indicações das placas oclusais
Diferença entre placas estabilizadoras, reposicionadoras e desprogramadoras
Bruxismo noturno vs. diurno e implicações clínicas
Materiais, técnicas e protocolos de ajuste
Fluxo analógico vs. fluxo digital (scanner + CAD/CAM)
Moldagem e registro de mordida (analógico)
Escaneamento intraoral (digital)
Confecção de modelos
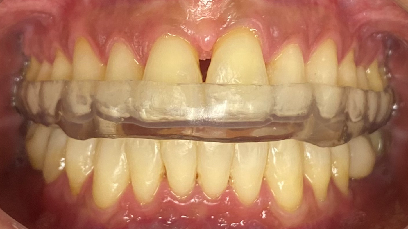
Ajuste de placas e polimento
Adaptação em paciente
Protocolos de entrega e acompanhamento
Domine o uso de placas oclusais para DTM, Bruxismo e Reabilitação Oral, aumentando segurança clínica e previsibilidade nos tratamentos
Efetivação
* a vaga somente será efetivada após o pagamento da taxa de inscrição.
Instrumentos
* TODO o material de consumo e instrumentos estão incluídos no curso.
Materiais
* O aluno deverá trazer jaleco, gorro e lupa (opcional).
Sobre o Curso
TODO o material de consumo e instrumentais estão incluídos no curso
Características do curso: Teórico – prático/laboratorial
Carga horária: 17 horas – Módulo Único
Vagas limitadas: Somente 4 alunos
Este curso, de caráter essencialmente teórico e prático, oferece ao aluno a oportunidade de aprender, em dois dias de imersão, todo o processo de indicação, confecção e ajuste das placas oclusais – tanto pelo fluxo analógico quanto pelo fluxo digital.
As placas oclusais são ferramentas fundamentais no manejo da DTM e do bruxismo, auxiliando no controle da dor orofacial, na proteção dentária e na estabilização da oclusão. Quando bem indicadas e ajustadas, oferecem conforto, segurança e previsibilidade clínica para os pacientes.
Ao longo do curso, o participante aprenderá a avaliar corretamente os casos, realizar registros precisos, solicitar a confecção laboratorial (analógica e digital) e, principalmente, ajustar e finalizar as placas em modelos e em pacientes reais. O foco está em transformar o conhecimento teórico em prática clínica aplicável no dia a dia, com protocolos claros e segurança no atendimento.






Turma e Data 2025
Empresas Parceiras
Dra. Fernanda Lemos
Cirurgiã-dentista especializada em Prótese Dentária e especialista no assunto de Placas Oclusais, com prática clínica em reabilitação oral e experiência em fluxo digital.

Não perca tempo e garanta sua vaga!
Apenas 4 vagas. Turma exclusiva e prática, com atenção individual. Garanta sua vaga agora!





